NSF awards Premnath $50K to aid in customer discovery of bone-healing drug

In June, the National Science Foundation awarded $50,000 to Priyatha Premnath, assistant professor, biomedical engineering, for a one-year I-Corps project to determine the commercialization pathway for the repurposing of an anti-cancer drug for bone healing.

The drug, UC2288, is an anti-cancer agent. In studies on mice, UC2288 has been found to enhance bone healing by increasing osteogenic capacity of stem cells and bone volume after fracture, Premnath says.

Premnath investigates bone regeneration and healing after fracture in aged and diseased populations and has researched biological and biomaterial-based means to enhance the healing process of fractured bone.

In the U.S. alone, doctors treat 6.8 million fractures annually, making fractures among the most common orthopedic problems. Up to 10 percent of patients experience delayed or incomplete healing.

“Most fractures and bone injuries heal well,” Premnath says. “But in some cases—such as osteoporosis, diabetes, and advanced age—the bone healing mechanism is hampered leading to compromised bone healing and potential complications that affect the person’s quality of life.”

Premnath’s proposed technology will target mesenchymal stem cells. The drug will, in effect, commission stem cells to become eager osteogenic cells, ready for work in bone regeneration.

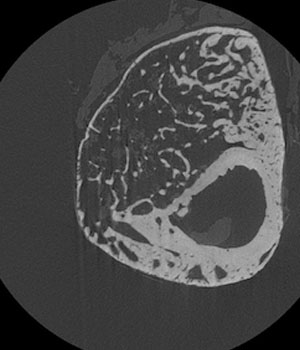
A 2D X-ray (microCT) image of a cross section of a mouse’s tibia (solid, bottom right). The outer portions are referred to as the callus and contain the healing bone along with cartilage and cells such as inflammatory and mesenchymal stem cells. When UC2288 is injected at the site of fracture, increased volume is observed in the callus. Premnath aims to spur mesenchymal stem cells, found in the bone marrow and lining of the bone, to become osteogenic cells that will contribute bone regeneration.